撒花!晚上萱萱终于拔了第一颗牙,注意,不是掉而是拔!外婆拔的,哈哈!
从小我们姐弟的牙齿多数都是外婆拔的,比医生水平高多了,估计是外婆的妈妈传给她的吧,嘻嘻:牙齿晃动厉害可总也不掉影响新牙的长成,拿根细线打个圈套在牙齿上,此时外婆“叭”一拍被拔牙人的额头,当你的注意力全去感受那里的疼痛时,外婆的另一只手已经干脆利落地把牙拔下来了。
萱下面右侧的牙齿已经晃动很长一段时间了,因为是门牙的缘故,吃东西很不方便,又常常叫疼。所以晚上在外婆家看着电视玩着妈妈突然想起了这事,大家就开始做拔牙的准备了,萱也乐呵呵地跟着大家忙乎。 从小无论吃药上药打针萱总是非要又哭又嚎外加手舞足蹈惊天动地的闹上一把才肯罢休,嘴里还不停地嘟囔:吃药时说“不苦哦。”,上药时说“轻轻地擦。”,打针时要嘱咐“轻轻打。”所以妈妈看她兴奋地样子暗暗松了口气,许是以前就跟她说过外婆给我们拔牙的事情让她没那么害怕了。哪知才等细线一套上牙齿,萱就开始不干了,眼泪噼里啪啦掉,手拽着细线不让人碰,哽咽着喊:“等会儿啊,等会儿啊,让我准备准备。”OK,OK,准备准备,结果线就被她从牙齿上弄了下来,反复几次,牙还没拔就已经碰疼了,小丫头更不干哭得更凶了,就这样前后折腾了一个小时,个个全身大汗。当外婆依靠着妈妈的“暴力镇压”终于把萱牙齿拔下的瞬间,小丫头舌头一舔,“有血,我流血了。”再次开哭,还跑到镜子前面瞧了半天,当发现不过是渗出的一点血丝后哭声终于停止了,外婆问她:“你老实说,拔牙到底疼不疼?”挂着泪珠小丫头不好意思地摇摇头。呵,不知下次拔牙又会有怎样一场硬仗要打?
萱掉的第一颗小牙牙,上面拴着的细白线正是外婆用来拔牙的
此图片仅显示局部,请点击查看完整图片 
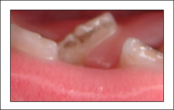
新长出的牙齿因为被旧牙阻挡着歪成了近45°,现在终于解放了
此图片仅显示局部,请点击查看完整图片 
[Edit on 2007-10-23 11:28:01 By wyxbaby] [Edit on 2007-10-23 12:14:57 By wyxbaby] |